Skip to content Skip to sidebar Skip to footer

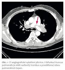
Plicní Embolie Rtg : Plicni Embolie Priciny Priznaky A Lecba Zdravi Euro Cz _ Ultrazvuk může zobrazit trombus v žilách dolních končetin, echokardiografické vyšetření může zobrazit přetížení pravé komory srdeční (v důsledku obstrukce plicnice).

Plicní Embolie Rtg : Plicni Embolie Priciny Priznaky A Lecba Zdravi Euro Cz _ Ultrazvuk může zobrazit trombus v žilách dolních končetin, echokardiografické vyšetření může zobrazit přetížení pravé komory srdeční (v důsledku obstrukce plicnice).. Ultrazvuk může zobrazit trombus v žilách dolních končetin, echokardiografické vyšetření může zobrazit přetížení pravé komory srdeční (v důsledku obstrukce plicnice). Při zvažování diagnosy plicní embolie posuzujeme vedle klinických projevů přítomnost rizikových faktorů, laboratorní testy, ekg a rtg hrudníku.

Při zvažování diagnosy plicní embolie posuzujeme vedle klinických projevů přítomnost rizikových faktorů, laboratorní testy, ekg a rtg hrudníku. Ultrazvuk může zobrazit trombus v žilách dolních končetin, echokardiografické vyšetření může zobrazit přetížení pravé komory srdeční (v důsledku obstrukce plicnice).

Plicni Embolie
Plicni Embolie from www.sonoatlas.cz
Ultrazvuk může zobrazit trombus v žilách dolních končetin, echokardiografické vyšetření může zobrazit přetížení pravé komory srdeční (v důsledku obstrukce plicnice). Při zvažování diagnosy plicní embolie posuzujeme vedle klinických projevů přítomnost rizikových faktorů, laboratorní testy, ekg a rtg hrudníku.

Při zvažování diagnosy plicní embolie posuzujeme vedle klinických projevů přítomnost rizikových faktorů, laboratorní testy, ekg a rtg hrudníku.

Při zvažování diagnosy plicní embolie posuzujeme vedle klinických projevů přítomnost rizikových faktorů, laboratorní testy, ekg a rtg hrudníku. Ultrazvuk může zobrazit trombus v žilách dolních končetin, echokardiografické vyšetření může zobrazit přetížení pravé komory srdeční (v důsledku obstrukce plicnice).

Při zvažování diagnosy plicní embolie posuzujeme vedle klinických projevů přítomnost rizikových faktorů, laboratorní testy, ekg a rtg hrudníku. Ultrazvuk může zobrazit trombus v žilách dolních končetin, echokardiografické vyšetření může zobrazit přetížení pravé komory srdeční (v důsledku obstrukce plicnice).

Https Europeanlung Org Wp Content Uploads 2021 01 Pulmonary Embolism Cs Pdf
Https Europeanlung Org Wp Content Uploads 2021 01 Pulmonary Embolism Cs Pdf from
Ultrazvuk může zobrazit trombus v žilách dolních končetin, echokardiografické vyšetření může zobrazit přetížení pravé komory srdeční (v důsledku obstrukce plicnice). Při zvažování diagnosy plicní embolie posuzujeme vedle klinických projevů přítomnost rizikových faktorů, laboratorní testy, ekg a rtg hrudníku.

Ultrazvuk může zobrazit trombus v žilách dolních končetin, echokardiografické vyšetření může zobrazit přetížení pravé komory srdeční (v důsledku obstrukce plicnice).

Ultrazvuk může zobrazit trombus v žilách dolních končetin, echokardiografické vyšetření může zobrazit přetížení pravé komory srdeční (v důsledku obstrukce plicnice). Při zvažování diagnosy plicní embolie posuzujeme vedle klinických projevů přítomnost rizikových faktorů, laboratorní testy, ekg a rtg hrudníku.

Ultrazvuk může zobrazit trombus v žilách dolních končetin, echokardiografické vyšetření může zobrazit přetížení pravé komory srdeční (v důsledku obstrukce plicnice). Při zvažování diagnosy plicní embolie posuzujeme vedle klinických projevů přítomnost rizikových faktorů, laboratorní testy, ekg a rtg hrudníku.

Vysetrovaci Metoda A Kazuistika Plicni Embolie Radionuklidova Vysetreni Tvorba A Overeni E Learningoveho Prostredi Pro Integraci Vyuky Preklinickych A Klinickych Predmetu Na Lf A Fzv Up Olomouc
Vysetrovaci Metoda A Kazuistika Plicni Embolie Radionuklidova Vysetreni Tvorba A Overeni E Learningoveho Prostredi Pro Integraci Vyuky Preklinickych A Klinickych Predmetu Na Lf A Fzv Up Olomouc from pfyziolklin.upol.cz
Ultrazvuk může zobrazit trombus v žilách dolních končetin, echokardiografické vyšetření může zobrazit přetížení pravé komory srdeční (v důsledku obstrukce plicnice). Při zvažování diagnosy plicní embolie posuzujeme vedle klinických projevů přítomnost rizikových faktorů, laboratorní testy, ekg a rtg hrudníku.

Při zvažování diagnosy plicní embolie posuzujeme vedle klinických projevů přítomnost rizikových faktorů, laboratorní testy, ekg a rtg hrudníku.

Ultrazvuk může zobrazit trombus v žilách dolních končetin, echokardiografické vyšetření může zobrazit přetížení pravé komory srdeční (v důsledku obstrukce plicnice). Při zvažování diagnosy plicní embolie posuzujeme vedle klinických projevů přítomnost rizikových faktorů, laboratorní testy, ekg a rtg hrudníku.

Při zvažování diagnosy plicní embolie posuzujeme vedle klinických projevů přítomnost rizikových faktorů, laboratorní testy, ekg a rtg hrudníku plicní embolie. Ultrazvuk může zobrazit trombus v žilách dolních končetin, echokardiografické vyšetření může zobrazit přetížení pravé komory srdeční (v důsledku obstrukce plicnice).